Dantų atkūrimas laminatėmis

Dantų atkūrimas laminatėmis

Stiklo keramikos laminatės – tobulai Jūsų šypsenai

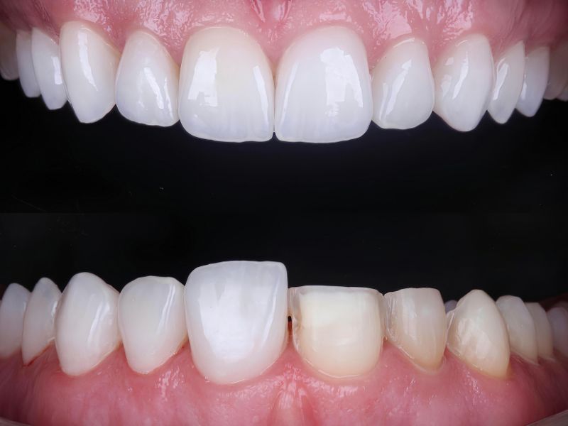
Dantų atkūrimas laminatėmis – tai pažangus, minimalaus invazyvumo reikalaujantis mikroprotezavimo būdas, ne tik sugrąžinantis dantims natūralų grožį, bet ir užtikrinantis ilgalaikę jų sveikatą bei komfortą. Laminatės – tai itin plonos, 0,3–0,5 mm storio bemetalės keramikos plokštelės, kurios sugeria, atspindi ir praleidžia šviesą taip pat, kaip natūralūs dantys, todėl atkurti dantys atrodo visiškai natūraliai ir itin estetiškai. Estetinis protezavimas laminatėmis dažniausiai atliekamas priekiniams dantims, kurie yra labiausiai matomi žmogui šypsantis ar kalbant.

Kam skirtas dantų atkūrimas laminatėmis?

Stiklo keramikos laminatės yra puikus sprendimas pacientams, norintiems saugiai ir patikimai atkurti priekinių dantų estetiką. Laminatės gali būti taikomos šiais atvejais:

  • Nusidėvėjusių dantų atkūrimui;
  • Tamsios ar nepageidaujamos dantų spalvos korekcijai;
  • Dantų dydžio, formos, padėties korekcijai;
  • Senų plombų keitimui;
  • Po traumų pažeistų, lūžusių dantų atstatymui;
  • Tarpų tarp priekinių dantų užpildymui;
  • Įskilimų ar įtrūkimų paslėpimui;
  • Senų restauracijų atnaujinimui;
  • Metalo keramikos vainikėlių pakeitimui;
  • Dantų lanko ištiesinimui, esant nedideliam dantų kreivumui.
Kam skirtas dantų atkūrimas laminatėmis?

Kodėl verta rinktis laminates?

Laminatės – tai ne tik grožis, bet ir atkurtų dantų sveikata bei ilgaamžiškumas. Pagrindiniai stiklo keramikos laminačių privalumai:

  • Natūralumas ir estetika. Laminatės atspindi ir praleidžia šviesą kaip natūralus dantis. Spalva ir blizgesys nekinta net po daugelio metų.
  • Mažas invazyvumas. Atkuriant dantis laminatėmis danties paviršius šlifuojamas tik minimaliai, o kartai šlifavimo visiškai neprireikia.
  • Tausojami dantų audiniai. Pašalinamos tik pažeistos vietos (senos plombos, kariesas).
  • Ilgaamžiškumas. Laminatės tarnauja ilgai, išlaikydamos estetinį vaizdą.
  • Geresnė burnos higiena. Ant stiklo keramikos mažiau kaupiasi apnašos, todėl mažėja ėduonies ir dantenų ligų rizika.

Laminačių rūšys: kurią pasirinkti?

Laminatės gali būti gaminamos iš kelių rūšių keramikos: lauko špato keramikos, ličio disilikato keramikos (E-max) ir leucitu sutvirtintos keramikos.

Šiuo metu laminačių rinkoje, taip pat ir mūsų klinikoje, populiariausia ir pažangiausia bemetalės keramikos rūšis – „E-max“ keramika, gaminama šveicarų kompanijos Ivoclar Vivadent. Tai itin stipri, estetiška ir ilgaamžė medžiaga, kuri net keturis kartus tvirtesnė nei anksčiau naudota metalo keramika vainikėliams gaminti. „E-max“ leidžia pasiekti natūralų, šviesą atspindintį rezultatą, kuris vizualiai beveik nesiskiria nuo tikrų dantų.

Dantų atkūrimo laminatėmis eiga

01 / Konsultacija ir diagnostika

Pirmojo vizito metu aptariami paciento lūkesčiai, apžiūrimi dantys. Nusprendus atkurti dantis laminatėmis atliekamas išsamus burnos ertmės ištyrimas. Naudojant intraoralinį skenerį, nuskenuojami dantys, fotografuojamas veidas, aptariama būsimų dantų forma ir spalva.

02 / Skaitmeninis šypsenos modeliavimas

Gauti duomenys perduodami dantų technikams, kurie skaitmeninėje erdvėje sukuria būsimos šypsenos modelį, leidžiantį tiksliai suplanuoti, kaip atrodys galutinis rezultatas.

03 / Laikinos laminatės ir pritaikymas

Kito vizito metu pacientas gali „pasimatuoti“ naują šypseną ir netgi kelias dienas ją „panešioti“ tam, kad įvertintų estetinį vaizdą, sukandimo pojūtį ir komfortą. Jei reikia, atliekamos korekcijos. Kai rezultatas visiškai tenkina pacientą – pereinama prie pasiruošimo dantų atkūrimui.

04 / Dantų paruošimas

Dantys ruošiami atkūrimui laminatėmis – pritaikius vietinę nejautrą pašalinamos senos plombos, pažeisti audiniai. Dantys minimaliai šlifuojami arba tik pašiaušiami, kad būtų užtikrintas geras restauracijos sukibimas. Nuimami atspaudai ir uždedamos laikinos laminatės, pagamintos pagal preliminarų būsimų dantų modelį. Pamatuojama ir dar kartą įvertinama būsima šypsena.

05 / Nuolatinių laminačių gamyba

Dantų technikų laboratorijoje gaminamos individualizuotos, maksimaliai natūralų vaizdą atkartojančios laminatės. Gamyba trunka nuo 2 iki 4 savaičių.

06 / Cementavimas

Trečio vizito metu, pagamintos laminatės dar kartą pamatuojamos ir, jei viskas tinka, cementuojamos ant dantų visiškai izoliuotoje nuo seilių terpėje (naudojama koferdamo sistema). Tokia aplinka užtikrina maksimalų restauracijos tvirtumą ir ilgaamžiškumą. Pacientas iš klinikos išeina su akivaizdžiai pasikeitusia, nepriekaištinga šypsena.

Kam rekomenduojamas dantų atkūrimas laminatėmis?

Dantų atkūrimas laminatėmis – idealus pasirinkimas pacientams, kurie:

  • Yra nepatenkinti savo šypsena;
  • Nori minimaliai invazyvios procedūros;
  • Nori tobulo estetinio rezultato;
  • Vertina ilgaamžiškumą ir ieško ilgalaikio sprendimo.
Apie mus

Dantų laminatės ar estetinis plombavimas?

Nors estetinis plombavimas – greitas ir patogus dantų atkūrimo būdas, laminatės gerokai lenkia jį ilgaamžiškumu ir estetika. Kompozicinės plombos laikui bėgant keičia spalvą,

traukia pigmentus ir apnašas, traukiasi kietėdamos, todėl gali atsirasti įtrūkimų ir pan. Tuo tarpu laminatės:

  • Nekeičia spalvos,
  • Nesusidėvi taip greitai,
  • Nepritraukia pigmentų,
  • Užtikrina stabilų rezultatą daugeliui metų.

Laminačių tarnavimo laikas vidutiniškai siekia 10–15 metų, tačiau, laikantis tinkamos individualios burnos higienos, kasnakt dėvint bruksizmo kapą, vengiant labai kieto maisto bei laikantis gydytojo rekomendacijų, šis laikotarpis gali būti dar ilgesnis.

Bet kuriuo atveju, laminatės yra žymiai ilgaamžiškesnės už estetines plombas, kurios laikui bėgant keičia spalvą, dėvisi ir gali prarasti formą.

Kada laminatės nerekomenduojamos?

Laminatės nėra tinkamas pasirinkimas visais atvejais – tam tikromis sąlygomis jos gali ne tik neduoti laukto rezultato, bet ir pabloginti esamą situaciją.

Laminatės nerekomenduojamos pacientams, kurių dantys stipriai pažeisti karieso, turi daug senų plombų arba emalis yra beveik visiškai sunykęs. Tokiais atvejais geresnis sprendimas – dantų protezavimas vainikėliais (karūnėlėmis), kurie užtikrina didesnį danties apsaugojimą ir ilgaamžiškumą.

Taip pat laminatės netinka esant labai kreiviems dantims ar netaisyklingam sąkandžiui. Tokiu atveju pirmiausia rekomenduojamas ortodontinis gydymas – ištiesinamas dantų lankas, koreguojamas sąkandis, o tik vėliau, esant poreikiui, galima rinktis laminates spalvos ir formos korekcijai.

Svarbu suprasti, kad laminatės nėra dantų ligų gydymo priemonė – tai estetinio tobulinimo metodas, skirtas pagerinti šypsenos išvaizdą, o ne spręsti dantų struktūrinius pakitimus ar sveikatos problemas.

Apie mus

Kodėl verta rinktis odontologijos kliniką „Meleda“?

  • Dirba patyrę odontologai ir dantų technikai, nuolat tobulinantys savo kvalifikaciją.
  • Naudojamos pažangiausios technologijos, užtikrinančios preciziškumą ir patogumą.
  • Kiekvienas pacientas gauna individualų gydymo planą pagal jo poreikius ir estetinius lūkesčius.
  • Suteikiamos išsamios rekomendacijos ir priežiūra po procedūros.

Registruokitės vizitui

Atskleiskite tikrąjį savo šypsenos potencialą. Užsiregistruokite konsultacijai jau šiandien ir atraskite, ką gali laminatės – grožis, kuris keičia gyvenimą.

Registruotis galite telefonu +370 659 00 055 klinikos darbo laiku arba internetu bet kuriuo Jums patogiu metu. Laukiame Jūsų.

Meleda

Odontologai, kuriems Jūsų komfortas – prioritetas nr. 1!

Prireikė gyd. odontologo konsultacijos? Vizitui galite registruotis jau dabar!